很多人搜索“牙齿图片大全图”时,真正想弄明白的其实是:我嘴里这颗牙到底是龋齿还是牙结石?下面用真实临床照片对比+自问自答的方式,帮你一眼看懂。

为什么看牙齿图片大全图之前,先要学会区分颜色与形态?
颜色与形态是肉眼判断的第一步。 龋齿常见颜色:白垩斑→黄褐→黑褐;边缘呈“虫蚀”状。 牙结石常见颜色:乳白、淡黄、深褐甚至墨绿;表面粗糙、呈片状或块状突起。 自问:如果牙面上是光滑的黄褐色,一定是龋齿吗? 自答:不一定,光滑且均匀的多半是外源性着色;龋齿表面会失去光泽,出现微小坑洞。
用三张典型照片对比:龋齿、牙结石、色素沉着
照片A:早期龋齿(咬合面白垩斑)
- 位置:恒磨牙窝沟
- 颜色:粉笔样白,比周围釉质更浑浊
- 触感:探针轻勾会卡住
- 疼痛:冷热酸甜刺激后短暂酸痛
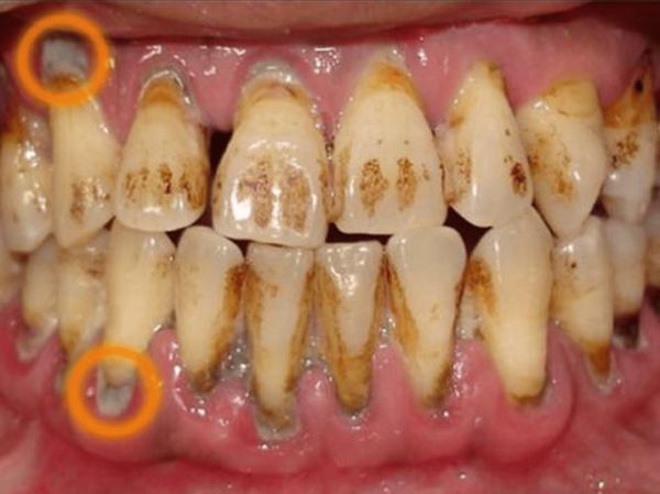
照片B:龈下牙结石(下前牙舌侧)
- 位置:紧贴牙龈缘以下
- 颜色:深褐或墨绿
- 触感:坚硬、像石头,探针刮不掉
- 伴随症状:刷牙出血、口臭
照片C:烟渍+茶渍(上颌前牙唇侧)
- 颜色:均匀棕黑
- 触感:光滑,抛光即可去除
- 疼痛:无
拍镜子自检:三步定位问题区域
- 干嘴观察:用纸巾擦干牙面,光线垂直照射,龋齿白垩斑会更明显。
- 探针轻刮:家用牙线棒反折成钩,轻刮牙面,卡住且掉渣的多为龋坏;刮下粉末状硬块则是牙结石。
- 冷热测试:冰水含漱秒,疼痛持续超十秒提示龋齿已接近牙髓。
牙结石堆积久了会变成龋齿吗?
不会直接转化,但牙结石是龋齿的帮凶。 牙结石表面粗糙,细菌更易黏附,产酸腐蚀釉质,形成继发龋。 自问:洁牙后牙缝变大是牙结石造成的吗? 自答:不是,牙结石长期压迫牙龈导致萎缩,洁牙后只是让真实牙根暴露。
儿童乳牙也会出现牙结石吗?
会,但比例低于成人。 常见原因: 1. 长期奶睡、夜奶; 2. 刷牙不到位,舌侧下前牙最先出现; 3. 口呼吸导致唾液黏稠,矿物质易沉积。 家长可用棉签蘸清水轻擦,若擦不掉且呈黄白色块状,需儿童牙科洁治。
拍片能替代肉眼吗?
不能。 咬合翼片能发现邻面早期龋,但牙结石在X线下呈高密度影,与牙骨质重叠,容易漏诊。 临床流程:先肉眼+探针,再拍片确认邻面龋坏深度,最后洁牙去除牙结石。
家用口腔镜与手机微距镜头怎么选?
| 工具 | 优点 | 缺点 |
|---|---|---|
| 口腔镜 | LED光源稳定,视野广 | 需他人协助,成像角度固定 |
| 手机+微距镜头 | 随时拍摄,方便对比 | 易抖动,需补光 |
建议:先用口腔镜定位,再用手机微距拍特写存档,三个月对比一次。

牙结石清除后还会再长吗?
会,速度取决于唾液矿物质浓度、刷牙质量、饮食习惯。 减少复发的三个关键点: 1. 每天使用牙线,避免菌斑钙化; 2. 每半年洁牙一次; 3. 饭后咀嚼无糖口香糖,刺激唾液冲刷。
龋齿补牙材料会不会被牙结石覆盖?
会。 补牙边缘若出现微渗漏,菌斑堆积后同样钙化形成牙结石,导致继发龋。 自检方法:用指甲沿补牙边缘滑动,若有台阶感或卡住,需复诊抛光或重新充填。
孕妇可以看牙齿图片大全图自我诊断吗?
可以初步判断,但治疗需专业医生。 孕期激素变化使牙龈更易出血,牙结石长得更快。 安全时间窗:孕中期(第4-6月)洁牙及补牙,避免拍片或复杂根管。
终极提醒:什么时候必须去医院?
- 牙结石导致牙龈出血、牙齿松动
- 龋齿出现自发痛、夜间痛
- 肉眼可见牙面黑洞或食物嵌塞痛
- 儿童乳牙提前脱落或恒牙迟萌
把牙齿图片大全图当作参考,而不是诊断书,专业检查才是保护牙齿的唯一捷径。

评论列表